Abstract
Background T-cell acute lymphoblastic leukemia (T-ALL) is an aggressive disease with a poor prognosis. Exportin-1 (XPO1) overexpression is observed in ALL and is associated with a poor prognosis for the patients. Recently, XPO1 inhibitor is reported to show anti-tumor effects in T-ALL. HDAC inhibitors (HDACi) are also reported to inhibit T-cell leukemia, and Chidamide is a new selective HDACi. Here, we explored the effect of Chidamide combined with the XPO1 inhibitor Selinexor in T-ALL and the underlying mechanisms.
Methods Cell Counting Kit-8 (CCK-8) was used for cell viability assay, Annexin-V/PI staining following flow cytometry analysis for apoptosis, and qPCR and Western Blot for gene expression in CEM and Molt4 T-ALL cell lines. CalcuSyn analysis was performed for a synergistic effect. Cellular fractionation combined with western blot was used to detect the distribution of observed proteins. The co-immunoprecipitation(Co-IP) assay was utilized for the protein-protein interaction.
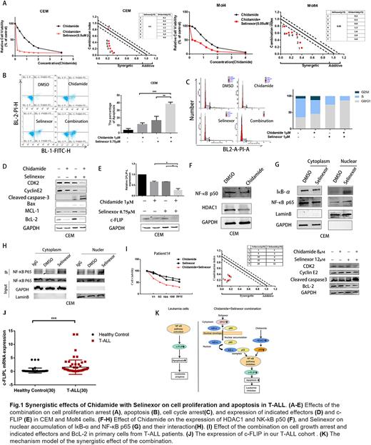
Results We first observed that both Chidamide and Selinexor induce cell proliferation arrest of T-ALL cells in a dose-dependent manner. Then we found that Selinexor significantly increased the Chidamide-mediated cell proliferation arrest in both CEM and Molt4 cells and CalcuSyn analysis showed they have a synergistic effect (Fig. 1A). Moreover, the combination significantly increased the apoptosis (Fig.1B) and cell cycle arrest at G0/G1 phase in CEM cells (Fig. IC) and Molt-4 cells compared to the single drug controls. Consistently, the combination significantly up-regulated the expression of pro-apoptotic factors Cleaved caspase-3 and BAX, but down-regulated that of anti-apoptotic effectors BcL2 and MCL1, and the cell cycle regulators CDK2 and CyclinE2 compared to that of the single drug controls in the cells (Fig.1D). These data together indicate the combination of Chidamide with Selinexor has synergistic anti-leukemia effects in T-ALL. To understand the underlying mechanism of the synergy, we observed the apoptosis regulatory proteins Cellular FLICE inhibitory protein(c-FLIP) is significantly down-regulated upon the combination treatment compared to the single drug controls (Fig. 1E). c-FLIP is reported to be transcriptionally regulated by NF-kB. Interestingly, we observed that Chidamide significantly down-regulates the expression of HDAC1 and NF-κB p50 in T-ALL cells (Fig. 1F). Moreover, IκB-α and NF-κB p65 are XPO1 cargoes, and the interaction of IκB-α with NF-κB p65 prevents NF-κB binding to target DNA. We also observed the accumulation of IκB-α, and NF-κB p65 in the nuclear fraction in CEM (Fig. 1G) and Molt4 cells upon the Selinexor treatment. The co-IP assay showed the IκB-α bound to NF-κB p65 subunit in the cells and this interaction is enhanced in nuclear faction upon Selinexor treatment (Fig.1H), which might prevent NF-κB dependent transcription of target genes such as c-FLIP. Furthermore, the combination of Selinexor with Chidamide showed significant effects on cell growth arrest, the expression of CDK2, CyclinE2, Cleaved caspase3, and BCL2 in primary cells from T-ALL patients (Fig.1I). Finally, qPCR results revealed c-FLIP was overexpressed in T-ALL patients compared to the normal controls in our T-ALL patient cohort (Fig.1J). These data together indicated that the combination exerts its anti-tumor effect by targeting XPO1/HDAC1/NF-kB/c-FLIP signaling. The mechanism model is shown in Fig.1K.
Conclusions Our results indicated that the combination of Selinexor with Chidamide has synergistic sensitivity on cell proliferation arrest, apoptosis, and cell cycle arrest in T-ALL by targeting NF-kB/c-FLIP oncogenic signaling through suppressing XPO1/HDAC1 activity. Our data also provide experimental evidence for the further clinical trial of the new potential combination in therapy of T-ALL.
Disclosures
No relevant conflicts of interest to declare.
Author notes
Asterisk with author names denotes non-ASH members.

This feature is available to Subscribers Only
Sign In or Create an Account Close Modal